أحرز الأرجنتيني ليونيل ميسي، قائد إنتر ميامي، هدفه الأول في النسخة الحالية من بطولة كأس العالم للأندية، والذي جاء من ركلة حرة في الدقيقة 54 أمام بورتو البرتغالي.
أكمل القراءة »اقسام أخرى
هل يقترب العالم من لقاح يقضي على الإيدز بجرعة واحدة؟
أعلن باحثون من معهد ماساتشوستس للتكنولوجيا (MIT) عن تطوير لقاح تجريبي أظهر نتائج واعدة في تحفيز الاستجابة المناعية ضد فيروس نقص المناعة البشرية (HIV) عند اختباره على الفئران.
أكمل القراءة »النفــــط يتراجع مع ترقب تطورات الحرب على إيران
تراجعت أسعار النفط في تعاملات الخميس، في ظل إحجام المستثمرين عن فتح مراكز جديدة، بعد أن بعث الرئيس الأميركي دونالد ترامب برسائل متضاربة بشأن احتمال تدخل بلاده في الصراع المتصاعد بين “إسرائيل” وإيران.
أكمل القراءة »أسعار النفط تواصل الارتفاع مع دخول الصراع الإيراني الصهيوني يومه السادس
ارتفعت أسعار النفط في التعاملات الآسيوية يوم الأربعاء، لتواصل مكاسبها التي بلغت 4% في الجلسة السابقة، وذلك على خلفية المخاوف من أن الصراع الإيراني الإسرائيلي قد يؤدي إلى اضطراب في الإمدادات.
أكمل القراءة »أرنولد يفاجئ الجميع في مؤتمر تقديمه مع النادي الملكي
فاجأ الإنجليزي ألكسندر أرنولد، نجم ريال مدريد الجديد، بالحديث بالإسبانية بطلاقة في مؤتمر تقديمه لاعبا رسميا في صفوف “الميرنغي”، اليوم الخميس.
أكمل القراءة »ريال مدريد يتخذ قرارا رسميا بشأن صفقة الإنجليزي أرنولد
حسم نادي ريال مدريد الجدل الدائر حول موعد تقديم نجمه الجديد، المدافع الدولي الإنجليزي ترينت ألكسندر أرنولد، الذي انضم رسميًا إلى صفوف الفريق يوم 30 مايو الماضي قادمًا من ليفربول في صفقة انتقال حر.
أكمل القراءة »بعد انتهاء التصفيات الصيفية.. تعرف على المنتخبات التي حجزت مقعدها في المونديال
بعد انتهاء فترة التصفيات الصيفية، فجر الأربعاء، أسدل الستار على مرحة مهمة نحو المونديال، بانتظار المراحل الأخيرة نهاية العام.
أكمل القراءة »دراسة مفاجئة.. الأسماك تشعر بالألم كالإنسان!
كشف فريق من العلماء حديثا عن معاناة الأسماك من ألم شديد خلال طريقة ذبح شائعة تُعرف بـ”الاختناق الهوائي”، ما قد يغير نظرتنا تجاه أطباق المأكولات البحرية التي نستهلكها يوميا.
أكمل القراءة »أسعار النفط تتراجع مع تقييم الأسواق لنتائج محادثات التجارة بين الولايات المتحدة والصين
تراجعت أسعار النفط في التعاملات المبكرة، اليوم الأربعاء، مع تقييم الأسواق لنتائج محادثات التجارة بين الولايات المتحدة والصين، التي لم يراجعها الرئيس دونالد ترامب بعد، في ظل ضعف الطلب على النفط من الصين وزيادة إنتاج أوبك+ التي تضغط على السوق.
أكمل القراءة »أنشيلوتي يهنئ رونالدو بدوري الأمم الأوربية ويشيد بأدائه
هنأ كارلو أنشيلوتي مدرب منتخب البرازيل النجم كريستيانو رونالدو على فوزه بلقب دوري الأمم الأوروبية مع البرتغال، مشيدا باحترافيته وقدرته على اللعب بأعلى مستوى رغم بلوغه سن الأربعين.
أكمل القراءة »غوارديولا يتسلم الدكتوراه الفخرية ويوجه خطاباً مؤثراً عن غزة
منح الإسباني بيب غوارديولا مدرب مانشستر سيتي الدكتوراه الفخرية من جامعة مانشستر خلال حفل رسمي أقيم أمس الاثنين، تقديراً لمساهماته في المدينة منذ توليه تدريب الفريق العام 2016.
أكمل القراءة »كواليس مثيرة.. رونالــــــدو يجدد عقده مع النصر وسط أجواء سياحية
حسم النجم البرتغالي كريستيانو رونالدو الجدل حول مستقبله مع نادي النصر السعودي، حيث أعلن عقب تتويجه مع منتخب بلاده بلقب دوري الأمم الأوروبية أنه باق مع الفريق ولن يرحل.
أكمل القراءة »الغفوة القصيرة وسط النهار.. دراسة تحذر من “خطر كبير”
توصل فريق من الباحثين في الولايات المتحدة إلى أن الحصول على قسط من النوم قبل غروب الشمس ربما يرتبط بزيادة احتمالات الوفاة بالنسبة للأشخاص في منتصف العمر وكبار السن.
أكمل القراءة »تشخيص أطعمة تساعد على تركيب هرمون السعادة
تشير الدكتورة ناتاليا بالاشوفا أخصائية الغدد الصماء إلى أن النشاط الاجتماعي والعمل المفضل والديك الرومي والموز تساعد على تركيب هرمون السعادة.
أكمل القراءة »الركراكي يعلّق على إمكانية فوز حكيمي بالكرة الذهبية
أكد مدرب المنتخب المغربي لكرة القدم ، وليد الركراكي، دعمه الكامل لترشيح أشرف حكيمي للتتويج بالكرة الذهبية.
أكمل القراءة »متحور كورونا الجديد “نيمبوس” شديد العدوى والعلماء يحذرون
أفاد العلماء بأن متحوراً جديداً شديد العدوى من كوفيد قد يثير موجة من الإصابات هذا الصيف، كما أظهرت بيانات أخرى من وكالة الأمن الصحي البريطانية أن نسبة الأشخاص الذين ثبتت إصابتهم بكوفيد ارتفعت إلى أعلى مستوى لها هذا العام، وهي الآن أعلى بنسبة 97% من المستوى المسجل في مارس.
أكمل القراءة »“مستعد لكسر ساقي”.. أول تعليق لكريستيانو رونالدو بعد فوز البرتغال بدوري الأمم
توج كريستيانو رونالدو مع منتخب البرتغال بلقب دوري الأمم الأوروبية بعد الفوز على إسبانيا في المباراة النهائية بركلات الجزاء في ميونخ مساء أمس الأحد.
أكمل القراءة »رونالدو يرد على منتقديه بالارقام في نهائي دوري امم اوروبا
رد قائد المنتخب البرتغالي كريستاينو رونالدو على جميع المشككين بقدراته، بعد ان تمكن من قيادة منتخب بلاده الى احراز لقب دوري امم اوروبا على حساب المنتخب الاسباني، وهو الذي سجل هدف التعادل في الشوط الثاني.
أكمل القراءة »أسعار النفط مستقرة عند 66.47 دولاراً قبيل محادثات تجارية بين أميركا والصين
حافظت أسعار النفط على المكاسب التي حققتها الأسبوع الماضي في المعاملات المبكرة من الاثنين مع ترقب المستثمرين لمحادثات تجارية بين الولايات المتحدة والصين في لندن في وقت لاحق من اليوم.
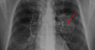
أكمل القراءة »علماء يحذرون: ما تظنه نكهة آمنة في السجائر الإلكترونية قد يدمّر رئتيك
كشفت دراسة علمية حديثة عن مخاطر خفية في السجائر الإلكترونية المنكهة، بعد أن تبين احتواء غالبية منتجاتها على مادة تُعرف باسم “النيوتام”، وهي مُحلٍّ صناعي يفوق حلاوة السكر بنحو 13 ألف مرة، ويتجاوز الأسبارتام بـ65 مرة.
أكمل القراءة »
قناة الغدير الفضائية قناة اخبارية مستقلة